家族性低叶酸血症伴快速侵袭性动静脉血栓形成患者的6年追踪结果
作者:
作者单位:

1.上海交通大学医学院附属松江医院神经内科,上海 201699;2.上海交通大学医学院附属松江医院超声科,上海 201699;3.上海交通大学医学院附属松江医院放射科,上海 201699;4.上海交通大学医学院附属松江医院脑电图室,上海 201699;5.上海交通大学医学院附属松江医院血管介入科,上海 201699;6.上海交通大学医学院附属松江医院信息科,上海 201699

作者简介:

余爱勇(1980―),男,硕士,副主任医师,主要从事代谢相关神经系统疾病研究。

通信作者:

周元(1983―),男,本科,主治医师,主要从事血管超声工作。Email:18918289150@189.cn。

基金项目:

松江区科学技术攻关项目(编号:22SJKJGG74)。


Familial hypofolatemia with rapidly aggressive arteriovenous thrombosis: a 6-year follow-up of a patient
Author:
Affiliation:

1.Department of Neurology, The Songjiang Hospital Affiliated To Shanghai Jiao Tong University School Of Medicine, Shanghai 201699, China;2.Department of Ultrasound, Songjiang Hospital Affiliated To Shanghai Jiao Tong University School of Medicine, Shanghai 201699, China;3.Department of Radiology, Songjiang Hospital Affiliated To Shanghai Jiao Tong University School of Medicine, Shanghai 201699, China;4.EEG Room, Songjiang Hospital Affiliated To Shanghai Jiao Tong University School of Medicine, Shanghai 201699, China;5.Department of Vascular Intervention, Songjiang Hospital Affiliated To Shanghai Jiao Tong University School of Medicine, Shanghai 201699, China;6.Department of Information, Songjiang Hospital Affiliated To Shanghai Jiao Tong University School of Medicine, Shanghai 201699, China

Fund Project:

  • 摘要
  • |
  • 图/表
  • |
  • 访问统计
  • |
  • 参考文献
  • |
  • 相似文献
  • |
  • 引证文献
  • |
  • 资源附件
  • |
  • 音频文件
  • |
  • 视频文件
    摘要:

    该文追踪1例低叶酸血症患者6年,观察患者体内血栓的动态演变过程。对该例患者进行了叶酸水平、同型半胱氨酸、维生素B12水平监测,同时监测患者的颈动脉超声、下肢动脉超声、头颅磁共振成像和磁共振血管成像,并获得患者的基因学检测结果。第1年,患者出现了左侧大脑中动脉皮质支闭塞(叶酸2.23 ng/mL)。第2年,患者出现了左下肢深静脉血栓(叶酸2.58 ng/mL)。第3年,患者出现左侧颈内动脉颅内段大部分闭塞(叶酸2.16 ng/mL)。第4年,患者出现右下肢深静脉血栓+左侧颈内动脉颅外段狭窄+右下肺静脉血栓形成(叶酸2.27 ng/mL),此时启动了补充叶酸治疗。第5年,患者未再新发血栓。采用DNA微阵列法检测发现,该例患者基因组中MTHFR基因677位为T/T纯合型(突变型)。第6年,患者死于肺炎。该类型突变的患者会出现低叶酸血症,导致快速侵袭性、全身动静脉多发性血栓,补充叶酸治疗可能有效。

    Abstract:

    A patient with hypofolatemia was followed up for 6 years to observe the dynamic evolution of thrombus. The levels of folic acid, homocysteine, and vitamin B12 were monitored, as well as carotid artery ultrasound, lower extremity arterial ultrasound, cranial MRI, and MRA, and genetic testing results were obtained. The patient experienced occlusion of the cortical branch of the left middle cerebral artery (folic acid 2.23 ng/mL) in the first year, deep vein thrombosis of the left lower extremity (folic acid 2.58 ng/mL) in the second year, and occlusion of most of the intracranial segment of the left internal carotid artery (folic acid 2.16 ng/mL) in the third year. In the fourth year, the patient experienced deep vein thrombosis of the right lower extremity, stenosis of the extracranial segment of the left internal carotid artery, and venous thrombosis of the right lower lung, with a folic acid level of 2.27 ng/mL, and folate supplementation was initiated at this time. New-onset thrombus was not observed in this patient in the fifth year. DNA microarray analysis showed T/T homozygous type (mutant type) at the 677 locus of the MTHFR gene. The patient died of pneumonia in the sixth year. Patients with such mutation may develop hypofolatemia, leading to rapidly aggressive multiple arteriovenous thrombosis throughout the body, and folate supplementation might be an effective treatment method.

    图1 头颅MRI平扫Fig.1
    图2 左下肢静脉造影Fig.2
    图4 右侧下肢深静脉超声图像Fig.4
    图3 头颅MRI平扫和MRA图像Fig.3
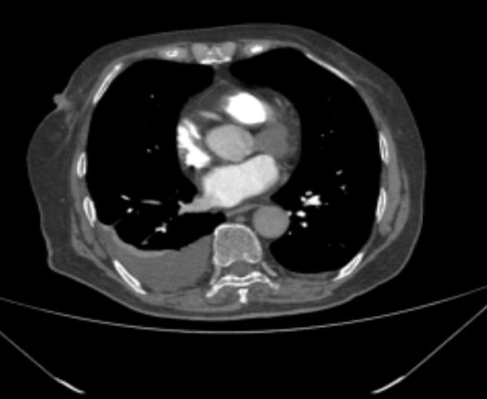
    图7 计算机体层成像血管造影图像Fig.7
    图5 颈动脉超声和椎动脉超声图像Fig.5
    图6 头颅MRI平扫和MRA图像Fig.6
    表 1 患者家庭成员叶酸代谢状态和疾病调查结果Table 1
    表 2 左侧大脑前动脉和左侧大脑中动脉经颅多普勒超声指标检测情况Table 2
    参考文献
    相似文献
    引证文献
引用本文

余爱勇,周元,陈君华,汪霞,杨柳,张宏泽,俞超456.家族性低叶酸血症伴快速侵袭性动静脉血栓形成患者的6年追踪结果[J].国际神经病学神经外科学杂志,2025,52(4):27-33111YU Aiyong, ZHOU Yuan, CHEN Junhua, WANG Xia, YANG Liu, ZHANG Hongze, YU Chao222. Familial hypofolatemia with rapidly aggressive arteriovenous thrombosis: a 6-year follow-up of a patient[J]. Journal of International Neurology and Neurosurgery,2025,52(4):27-33

复制
分享
文章指标
  • 点击次数:
  • 下载次数:
历史
  • 收稿日期:2025-01-01
  • 最后修改日期:2025-06-16
  • 录用日期:
  • 在线发布日期: 2025-09-16
关闭
关闭
关于作者收到不明邮件或短信的再次申明

关闭