2021, 48(3):211-218. DOI: 10.16636/j.cnki.jinn.1673-2642.2021.03.001
摘要:阿尔茨海默病(AD)是以进行性认知障碍为主要表现的神经变性疾病,伴有日常活动能力损害和人格变化,给家庭和社会带来了严重的负担。轻度认知障碍(MCI)是一组介于健康老化和AD之间的过渡状态。目前的抗认知障碍药物治疗效果不佳,在有效的药物干预上市之前,应积极探索有效的非药物干预方法。越来越多的证据表明,认知干预能够有效改善AD病变引起的认知功能损伤,亦能够用于健康老年人预防AD的发生。在该文中,总结了认知干预的相关研究及可能机制,对未来认知干预的应用提出了建议,并形成了认知障碍患者个体化智能康复治疗的技术规范。
2021, 48(3):219-225. DOI: 10.16636/j.cnki.jinn.1673-2642.2021.03.002
摘要:认知障碍指记忆、语言、计算、视空间、执行、理解判断等大脑高级智能加工过程出现异常,当上述认知域有2项或2项以上受累并影响个体的日常或社会能力时可考虑为痴呆。阿尔茨海默病(AD)是老年人痴呆的最常见病因。痴呆造成全球健康问题,中国更是痴呆最为严重的国家。认知障碍的药物治疗疗效有限,探索有效的非药物治疗方案迫在眉睫。认知障碍的非药物治疗方法主要包括无创性脑刺激(NIBS)及认知训练,二者联合应用可能提高对认知障碍的疗效。该文总结了近年来NIBS同步认知训练治疗认知障碍患者的相关研究,探讨联合治疗的方法和疗效,为认知障碍的综合治疗方案提供临床依据和技术规范。
2021, 48(3):226-230. DOI: 10.16636/j.cnki.jinn.1673-2642.2021.03.003
摘要:目的 探讨基于p38分裂原激活蛋白激酶(p38MAPK)通路沉默信息调节因子相关酶1(SIRT1)表达水平在重症颅脑损伤大鼠中的变化及其对创伤后应激障碍(PTSD)的影响。方法 SD大鼠80只,留取15只作对照组,其余复制重症颅脑损伤大鼠模型。分为模型组、SIRT1过表达组、p38激动剂组。对照组仅制作假手术模型,SIRT1过表达组脑内注射过表达SIRT1慢病毒载体,p38激动剂组予以过表达SIRT1慢病毒载体+p38激动剂;模型组、对照组予以等体积生理盐水。评估各组大鼠创伤后第1、3及5天测试神经功能;高架十字迷宫实验评定创伤应激行为学;TTC法观察脑梗死面积;Western blotting检测梗死侧脑皮质中SIRT1、p38、p-p38蛋白的表达情况。结果 从模型组、p38激动剂组、SIRT1过表达组到对照组,大鼠神经功能评分逐渐降低(P<0.05),进入开臂(和闭臂)次数逐渐增多,在开臂(和闭臂)停留时间逐渐延长(P<0.05)。模型组、SIRT1过表达组、p38激动剂组大鼠创伤后第1、3及5天脑梗死较明显,且随时间延长而加重;与模型组比较,SIRT1过表达组、p38激动剂组有所改善。从模型组、p38激动剂组、SIRT1过表达组到对照组,大鼠脑皮质SIRT1、p-p38蛋白相对表达量逐渐升高(P<0.05)。结论 重症颅脑损伤大鼠脑皮质SIRT1表达下调,上调SIRT1可缓解PTSD,其机制可能与抑制p38信号通路有关。
2021, 48(3):231-234. DOI: 10.16636/j.cnki.jinn.1673-2642.2021.03.004
摘要:目的 探究血清Copeptin、IGF-Ⅱ联合APACHE Ⅱ评分对颅脑外伤患者预后的预测价值。方法 选取2012年12月1日—2018年12月1日于该院就诊的96例颅脑外伤患者作为实验组,同时选取96例健康者作为对照组。所有患者均进行血清Copeptin、IGF-Ⅱ水平的检测。评估实验组患者预后情况,分析不同预后患者的血清Copeptin、IGF-Ⅱ水平。结果 实验组患者入院后血清Copeptin水平逐渐降低,IGF-Ⅱ水平逐渐升高。轻型组、中型组和重型组之间的Copeptin和IGF-II水平有差异(P<0.05);轻型组患者IGF-Ⅱ水平高于中型组,Copeptin水平低于中型组;中型组患者血IGF-Ⅱ水平高于重型组,Copeptin水平低于重型组。APACHE Ⅱ评分与Copeptin水平呈正相关,与血清IGF-II水平呈负相关。实验组患者出院后6个月后,预后越差,入院时血清Copeptin水平越高,IGF-Ⅱ水平越低。结论 通过血清Copeptin、IGF-Ⅱ水平联合APACHE Ⅱ评分对颅脑外伤患者预后有一定预测价值。
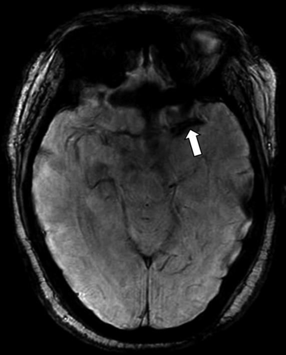
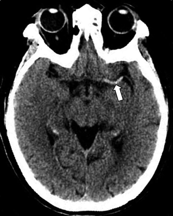
2021, 48(3):235-238. DOI: 10.16636/j.cnki.jinn.1673-2642.2021.03.005
摘要:目的 探讨磁敏感加权成像(SWI)技术显示超急性脑梗死颅内动脉血栓的应用价值。方法 选取46例发病6 h内的超急性脑梗死患者进行回顾性分析,术前进行头部平扫CT、常规MRI、弥散加权成像、SWI(发病6 h以内),之后进行数字减影血管造影(DSA)检查;分析CT脑动脉高密度征(CHAS)、SWI磁敏感血管征(SVS)诊断动脉血栓的灵敏度、特异度,利用Kappa检验CHAS与SVS之间的一致性。结果 46例患者中DSA证实颅内动脉血栓15例。以DSA为参考标准,CHAS和SVS诊断动脉血栓的灵敏度、特异度、诊断效率、阳性预测值、阴性预测值分别为86.7%(13/15)、93.5%(29/31)、91.3%(42/46)、86.7%(13/15)、93.5%(29/31)和100%(15/15)、93.5%(29/31)、95.7%(44/46)、91.3%(42/46)、100%(29/29),CHAS与SVS诊断动脉血栓一致性较好(k=0.758,P<0.05)。结论 SVS对显示颅内动脉血栓有重要意义,SWI技术可常规用于超急性期脑梗死患者。
2021, 48(3):239-243. DOI: 10.16636/j.cnki.jinn.1673-2642.2021.03.006
摘要:目的 探讨长期丰富环境(EE)对由神经毒素MPTP所致的帕金森病(PD)小鼠模型抑郁情绪的作用。方法 采用随机分组法将40只7月龄雄性C57BL/6N小鼠,分为EE+MPTP组、EE+NS组、SE+MPTP组与SE+NS组,每组10只。EE组和标准环境(SE)组在干预3个月后,MPTP组小鼠进行神经毒素MPTP造模(腹腔注射,30 mg/kg),每天注药1次,连续7 d;NS组给予腹腔注射等量的0.9%NaCl作为对照观察。采用行为学方法评估小鼠行为学表现。行免疫组织化学染色方法观察酪氨酸羟化酶(TH)与5-HT1A受体阳性面密度值变化情况。结果 行为学结果显示MPTP组的小鼠的强迫游泳评分较NS组小鼠低(P<0.01);悬尾实验静止不动时间延长(P<0.01)。EE+MPTP组的上述抑郁表现轻于SE+MPTP组(P<0.05)。从免疫组织化学染色结果中发现,SE+MPTP组和EE+MPTP组小鼠的TH与5-HT1A受体阳性表达水平较NS组小鼠降低(P<0.01),而EE+MPTP组小鼠TH及5-HT1A受体阳性表达水平降低程度较SE+MPTP组小鼠小(P<0.05)。结论 MPTP小鼠的行为学异常以及TH阳性面密度值减少提示PD模型制作成功。EE+MTPT组小鼠5-HT1A受体受损较SE+MPTP组小鼠轻,提示丰富环境可能缓解MPTP诱导的PD小鼠模型的抑郁情绪。国际神经病学神经外科学杂志,2021,48(3): 239-243]
2021, 48(3):244-248. DOI: 10.16636/j.cnki.jinn.1673-2642.2021.03.007
摘要:目的 探究癫痫患者深睡期血流动力学参数与认知功能障碍关系。方法 选取2015年2月至2020年2月该院收治的102例癫痫患者作为癫痫组,按照蒙特利尔认知评估量表(MoCA)将患者分为认知障碍组(35例,MoCA<26分)和无认知障碍组(67例,MoCA≥26分),另选该院体检健康人员32例作为正常对照组。同步监测所有纳入对象深睡期(N3+N4期)脑电波及血流动力学变化,并分析其与患者认知功能的关系。结果 认知障碍组初发年龄低于无认知障碍组;病程、每月发作次数、全面发作比例高于无认知障碍组,差异具有统计学意义(P<0.05)。认知障碍组、无认知障碍组REM、N1期、N2期高于正常对照组;N3+N4期低于正常对照组(P<0.05)。认知障碍组REM、N1期高于无认知障碍组;N3+N4期、TST低于无认知障碍组(P<0.05)。认知障碍组深睡期发作期间痫样放电(IED)指数低于无认知障碍组;非快速动眼睡眠期棘波指数(SWI)高于无认知障碍组,差异具有统计学意义(P<0.05)。认知障碍组深睡期大脑中动脉平均血流速度(CBFVm)、CBFV波动程度高于无认知障碍组和正常对照组,差异具有统计学意义(P<0.05);无认知障碍组和正常对照组深睡期CBFVm、CBFV波动程度比较差异无统计学意义(P>0.05)。结论 癫痫患者深睡期存在明显的血流动力学变化,其中CBFV波动与患者认知功能下降有关。
2021, 48(3):249-255. DOI: 10.16636/j.cnki.jinn.1673-2642.2021.03.008
摘要:目的 探究癫痫的转录组学特征,寻找癫痫诊治的潜在靶点。方法 选取雄性幼龄SD大鼠17只,采用抽签法随机将大鼠分为2组:对照组(8只)、CSRS组(9只)。基于氯化锂-匹罗卡品构建的慢性自发性癫痫(CSRS)大鼠模型,取CSRS大鼠及对照组大鼠海马组织进行转录组测序(RNA-seq),并对信使RNA(mRNA)及微小RNA(miRNA)进行差异分析、信号通路富集分析及差异表达蛋白互作用网络构建寻找核心调控基因。结果 对照组及CSRS组的mRNA进行差异分析获得的354个差异表达基因(DEGs),信号通路富集分析DEGs与离子转运调控、组织发育、应激反应等相关。蛋白互作网络分析发现WDR88、SHANK2、TEC、NFKBIZ、EPHA8等为DEGs中主要的核心调控基因。同时获得差异表达miRNA,并进行靶基因预测及GO通路富集分析,发现靶基因主要与离子型谷氨酸受体复合物、谷氨酸受体活性、谷氨酸盐化的钙离子通道活性、NF-κB诱导激酶活性等分子功能相关。结论 基于RNA-seq发现差异基因表达异常是癫痫发生的重要原因,是导致神经元发生异常的、同步化放电的关键因素。
2021, 48(3):256-262. DOI: 10.16636/j.cnki.jinn.1673-2642.2021.03.009
摘要:目的 T细胞活化核因子5(NFAT5)具有促进T细胞发育和激活T细胞作用,通过诱导不同靶基因实现免疫调节功能。该研究旨在探讨NFAT5与胸腺瘤合并重症肌无力(MG)的相关性及其作用机制。方法 免疫组织化学(IHC)检测NFAT5在胸腺瘤中蛋白表达与是否合并MG有关。通过生物信息网站预测NFAT5的微小RNA(miRNA)及下游靶基因,应用RT-qPCR与IHC在临床病理样本中对miRNA和靶基因进行验证。结果 应用IHC在56例胸腺瘤石蜡标本中检测NFAT5,NFAT5在单一胸腺瘤组(T组,32例)阳性率高于伴MG胸腺瘤组(MT组,24例),差异具有统计学意义(P=0.006)。通过生物信息网站预测NFAT5的microRNA和下游基因,得出NFAT5的下游基因为CD4,miRNA-17-5p靶向调控NFAT5。在10例胸腺瘤石蜡标本中(T组5例;MT组5例),通过RT-qPCR检测miRNA-17-5p,结果显示miRNA-17-5p在T组表达低于MT组,差异有统计学意义(P=0.033)。在56例胸腺瘤石蜡标本中,应用IHC检测到CD4在T组阳性率高于MT组,差异有统计学意义(P=0.034)。在T组和MT组中,NFAT5与CD4表达均呈正相关(P<0.05)。结论 NFAT5在T组中的表达高于MT组,说明NFAT5在胸腺瘤中对MG发病起到一定抑制作用。miRNA-17-5p可能在胸腺瘤微环境中靶向抑制NFAT5,从而抑制CD4+ T细胞表面的CD4,减少CD4+ T细胞反应,促进MG的发生。
2021, 48(3):263-267. DOI: 10.16636/j.cnki.jinn.1673-2642.2021.03.010
摘要:目的 探讨影响痴呆患者照料者健康的因素。方法 采用横断面调查研究设计及电子调查问卷的方式,结合ordered probit回归模型分析痴呆患者照料者年龄、性别、婚姻状况、学历、收入及痴呆患者病情严重程度等对照料者自评价健康的影响。结果 有61.6%的照料者感觉自己的健康受损。ordered probit回归分析结果显示,在控制性别、年龄、学历、婚姻、家庭收入等照料者的一般人口学特点时,痴呆患者日常生活能力[系数:0.148(0.136)]、认知情况[系数:0.133(0.019)]、精神行为状态[系数:0.361(0.169)]对照料者的自评价健康影响显著。结论 痴呆患者的病情越严重、日常生活能力及认知情况越差、精神行为异常越显著,照料者更容易感到自身健康受到了损害。我们在关注痴呆患者的同时,应积极关注照料者的健康。国际神经病学神经外科学杂志, 2021, 48(3): 263-267]
2021, 48(3):268-272. DOI: 10.16636/j.cnki.jinn.1673-2642.2021.03.011
摘要:目的 探讨良性阵发性位置性眩晕(BPPV)患者伴发焦虑抑郁状态情况及危险因素分析。方法 选择该院2018年1月至2020年4月被诊断为良性阵发性位置性眩晕的患者98例,并招募100例年龄、性别、受教育程度相匹配的健康体检人群作为对照组,受试人群均接受汉密尔顿焦虑量表(HAMA)和汉密尔顿抑郁量表(HAMD)评估。结果 BPPV组焦虑和抑郁的患病率均高于对照组(P<0.05)。BPPV患者中,38例(38.78%)有焦虑倾向,10例(10.2%)被诊断焦虑症;对照组中6例(6%)有焦虑倾向,2例(2%)诊断焦虑症。BPPV患者中,27例(27.55%)可能抑郁,10例(10.2%)被诊断抑郁症,2例(2.04%)被诊断重度抑郁;对照组中5例(5%)可能抑郁,1例(1%)被诊断抑郁症。女性、发作频率较高、病程长是影响BPPV患者焦虑和抑郁程度的危险因素(P<0.05)。结论 BPPV患者发生焦虑和抑郁的概率较高。尤其是女性、发作频率高、病程长的患者。因此,需要早期对BPPV患者的精神障碍进行评估和干预。 [引用格式:国际神经病学神经外科学杂志, 2021, 48(3): 268-272]
邓兰秋子,匡卫平,李振光,刘坤,王琴,曾其昌,黄亚辉,彭琼,朱勇,卢军
2021, 48(3):273-279. DOI: 10.16636/j.cnki.jinn.1673-2642.2021.03.012
摘要:目的 探究低频率电刺激(LFS)对癫痫的作用及其可能的作用机制。方法 将60只SD大鼠随机分为对照组、癫痫模型组、假刺激组和LFS治疗组,每组15只。记录大鼠Racine 评分和脑电图,Morris水迷宫实验检测大鼠空间学习记忆能力;HE染色和尼氏染色检测大鼠海马CA1区病理学变化;TUNEL染色检测大鼠海马神经元细胞凋亡;ELISA检测大鼠血清TNF-α、IL-6和IL-1β水平;Western blotting检测大鼠海马RhoA、ROCK1、ROCK2、p65、p-p65和凋亡相关基因蛋白表达;RT-PCR检测大鼠海马RhoA、ROCK1和ROCK2 mRNA表达。结果 癫痫模型组大鼠出现了连续性棘波。癫痫模型组大鼠的Racine评分;神经元细胞凋亡率;Bax、c-caspase3和p-p65/p65蛋白表达;RhoA、ROCK1和ROCK2 mRNA和蛋白表达;血清TNF-α、IL-6和IL-1β水平较对照组升高,差异有统计学意义(P<0.05)。癫痫模型组大鼠的空间学习记忆能力、神经元数量、尼氏体数量、Bcl-2蛋白表达较对照组降低,差异有统计学意义(P<0.05)。LFS治疗组大鼠波峰下降。LFS治疗组大鼠的Racine评分;神经元细胞凋亡率;Bax、c-caspase3和p-p65/p65蛋白表达;RhoA、ROCK1和ROCK2 mRNA和蛋白表达;血清TNF-α、IL-6和IL-1β水平较假刺激组降低,差异有统计学意义(P<0.05)。LFS治疗组大鼠的空间学习记忆能力、神经元数量、尼氏体数量和Bcl-2蛋白表达较假刺激组升高,差异有统计学意义(P<0.05)。结论 LFS可能通过抑制Rho/ROCK/NF-κB途径来抑制炎症产生,从而发挥抗癫痫作用。
2021, 48(3):280-283. DOI: 10.16636/j.cnki.jinn.1673-2642.2021.03.013
摘要:目的 了解脑梗死患者下肢深静脉血栓形成的发生率,并分析其危险因素。方法 选取西南医科大学附属医院自2018年3月至2019年11月收治的431例脑梗死患者的临床资料信息,根据是否发生下肢深静脉血栓分为血栓组(52例)和非血栓组(379例),比较两组临床资料,分析相关危险因素。结果 两组在年龄(≥60岁)、高血压病史、糖尿病病史、高脂血症病史、恶性肿瘤病史、合并感染、NIHSS评分≥16分、脱水剂应用≥4次/d、卧床时间≥14 d、行介入治疗、服用氯吡格雷等方面比较,差异有统计学意义(P<0.05)。多因素logistic回归分析显示,合并高血压、脱水剂使用次数≥4次/d、NIHSS评分≧16分、合并感染是脑梗死患者发生下肢深静脉血栓的危险因素,差异有统计学意义(P<0.05)。结论 脑梗死患者发生下肢深静脉血栓是多种因素共同作用的结果。 [国际神经病学神经外科学杂志, 2021, 48(3): 280-283]
2021, 48(3):284-288. DOI: 10.16636/j.cnki.jinn.1673-2642.2021.03.014
摘要:胶质母细胞瘤(GBM)是一种预后极差的中枢神经系统恶性肿瘤,具有手术难以切除、高侵袭性、增生性及强耐药性等特点。内质网(ER)应激会破坏细胞中的其他蛋白质稳态,从而导致未折叠的蛋白质响应(UPR)激活,这对于恢复这种平衡和细胞存活至关重要。除了作为一种适应性反应外,最近UPR还与肿瘤发生有关。肿瘤微环境中普遍存在的缺氧、活性氧和营养物质剥夺是众所周知的UPR诱因。在这里,笔者回顾目前对成人最具生命威胁的GBM中UPR的认识。患者样品显示出UPR的慢性激活,体外标准化学疗法和放射疗法通过加重ER应激导致细胞死亡而部分起作用。UPR与凋亡诱导剂如TRAIL和MDA-7的敏感性增强有关。最后,内质网应激被认为与GBM干细胞内稳态的维持有关。UPR中的IRE1与PERK传感器在原位GBM小鼠模型中的作用均有报道,但直接作用仍有待证明。综上所述,UPR似乎可通过抑制其活性成为GBM新的干预手段中一个有希望的治疗靶点。
2021, 48(3):289-293. DOI: 10.16636/j.cnki.jinn.1673-2642.2021.03.015
摘要:外周神经损伤后若不能及时准确的修复,则会导致外周神经功能的永久丧失。目前研究显示施万细胞(SC)参与外周神经损伤后碎片清除、轴突和髓鞘再生以及靶器官再支配过程中,外周神经损伤后SC被迅速激活进入修复过程,经历一系列动态的细胞重塑变化,转化为修复表型,促进神经再生、引导对靶器官再支配,从而恢复神经功能,其中有许多信号通路,转录调节因子等调控这些过程。基于此,该文系统总结了SC在外周神经再生过程中的研究进展,为深入研究外周神经修复提供新的方法和策略。
2021, 48(3):294-298. DOI: 10.16636/j.cnki.jinn.1673-2642.2021.03.016
摘要:脉络膜前动脉动脉瘤(AChAA)是一种发生在脉络膜前动脉(AChA)及其与颈内动脉交界处的动脉瘤。AChAA的发生与发展受多种先天及后天因素影响,但其具体病因与流行病学特征缺少可靠的统计学证据。只依靠临床表现和一般检查无法确诊AChAA,需要影像学检查如CT血管造影、磁共振血管成像或数字减影血管造影证据。目前国际上对于有破裂风险的AChAA广泛采用开颅夹闭手术或血管内治疗,但是关于两种方式的治疗效果、并发症发生率以及预后仍存在争议。
2021, 48(3):299-302. DOI: 10.16636/j.cnki.jinn.1673-2642.2021.03.017
摘要:Chiari畸形为一组后脑和颅颈交界区异常的集合,通常具有小脑扁桃体通过枕骨大孔下疝的特征。当前,手术方式的选择仍无明确的共识,尽管不同的外科医师的确切手术方式不同,但手术的目标仍是一致的,即解除脑干压迫,恢复脑脊液在枕骨大孔区正常流动,缩小脊髓空洞大小。该文就Chiari畸形的分型(尤其是Chiari畸形Ⅰ型)、临床表现、诊断及手术治疗进行综述。
2021, 48(3):303-306. DOI: 10.16636/j.cnki.jinn.1673-2642.2021.03.018
摘要:血脑屏障(BBB)是一种动态的高度紧密的组织结构,严格地调控大脑与外周血的物质交换。BBB结构破坏与多种中枢神经系统疾病相关,构建适合的BBB模型有利于中枢神经系统疾病的研究及药物筛选。该文就体外BBB模型的研究进展进行综述,主要讨论了目前应用最广泛的Transwell模型和最新的微流控芯片模型的构建方法及其特点。目前构建体外BBB最常用的模型是Transwell模型,能直接检测BBB的跨内皮电阻和渗透性。BBB微流控芯片通过微灌流系统模拟了血液流动,更符合器官组织的生理状态,更适用于构建疾病模型、药物筛选等,是更有发展前景的体外模型。
2021, 48(3):307-310. DOI: 10.16636/j.cnki.jinn.1673-2642.2021.03.019
摘要:癫痫作为一种古老的疾病,在全世界有广泛的发病人群,其对于个人、家庭、社会都有严重的负面影响。左乙拉西坦作为第二代抗癫痫药物,因其相对高安全性、药代动力学简单及与其他药物相互作用的发生率低等特点,在临床上广泛应用。虽然左乙拉西坦在控制癫痫发作方面疗效显著,但在使用过程中会出现多种不良反应,如头晕、共济失调,以及包括抑郁、焦虑、情绪不安甚至自杀等精神行为异常。该文主要就左乙拉西坦导致精神行为异常的可能机制、影响因素等方面进行综述,并对临床应用提出建议。
2021, 48(3):311-315. DOI: 10.16636/j.cnki.jinn.1673-2642.2021.03.020
摘要:慢性颈内动脉闭塞(CICAO)是认知功能障碍的独立危险因素,可通过多种机制影响脑部结构及血流动力学情况(包括淀粉样蛋白沉积、炎症介质形成、脑灌注不足等),导致非心脑血管事件风险增加。颈动脉系统重度狭窄或闭塞部位不同所致认知功能减退的表现形式可能存在差异,控制高血压等高危因素可降低其发生风险。临床上对于CICAO患者脑血流动力学情况常用的评估手段为CT灌注成像检查(CTP),其可能通过间接评估侧支循环及其他血流动力学指标来预测患者出现认知功能减退的风险,但准确性仍有争议。目前临床上常用药物可在一定程度上改善患者的认知功能,尚无根治药物,血管内介入治疗可能通过降低脑梗死再发及改善脑灌注而改善认知功能,但对于纳入患者的标准仍需严格评估,其安全性及有效性仍需进一步探索。该文基于该类疾病的研究现状,对其发病机制、影响因素、评估手段及治疗方案进行综述,以期为临床诊疗及后续研究提供参考。
2021, 48(3):316-320. DOI: 10.16636/j.cnki.jinn.1673-2642.2021.03.021
摘要:颅内孤立性纤维瘤(ISFT)临床上较为罕见,侵犯颈静脉孔的ISFT更少见。该文报道侵犯颈静脉孔的ISFT 1例,对其病理学、影像学特征、术后复发和转移相关研究进展进行文献复习。
地址:湖南长沙市湘雅路87号 中南大学湘雅医院内
邮编:410008
电话:0731-84327401
传真:0731-84327401
E-mail: jinn@vip.163.com
网址:http://www.jinn.org.cn/
手机版网站二维码
微信公众号二维码
国际神经病学神经外科学杂志 ® 2026 版权所有 技术支持:北京勤云科技发展有限公司 总访问:

