2025, 52(4):1-5. DOI: 10.16636/j.cnki.jinn.1673-2642.2025.04.001
摘要:目的 分析胶质瘤患者术后影响生存的因素,并建立精准的预后模型,为临床治疗决策和预后评估提供可靠依据。方法 收集胶质瘤患者的临床资料,包括年龄、性别、肿瘤部位、病理分级、手术切除程度、术后放疗、化疗等多方面信息。运用统计分析方法,确定影响患者术后生存的危险因素。基于这些因素,利用机器学习算法建立预后模型,并通过内部验证和外部验证对模型进行全面评估。结果 年龄、病理分级、手术切除程度、术后放疗、化疗等因素与患者术后生存时间相关。多因素分析进一步揭示病理分级、手术切除程度、术后放疗等为影响患者术后生存的影响因素。所建立的预后模型具有卓越的预测性能,能够准确评估患者的预后。结论 病理分级、手术切除程度、术后放疗等是胶质瘤患者术后生存的重要影响因素。建立的预后模型为临床医生提供了科学的预后评估工具。
2025, 52(4):6-10. DOI: 10.16636/j.cnki.jinn.1673-2642.2025.04.002
摘要:目的 探讨急性脑梗死(ACI)中磁共振弥散加权成像(MRI DWI)特征在血管内血栓切除术(EVT)后颅内出血的预测价值。方法 将2021年8月—2023年12月在宣城市人民医院行EVT治疗的ACI患者107例纳入研究。根据EVT后有无颅内出血分组,收集患者一般资料,计算DWI梗死体积及最大达峰时间(Tmax)。结果 两组患者从发病到入院、EVT及静脉溶栓时间等比较,差异无统计学意义(P>0.05),但术后颅内出血组空腹血糖(FBG)、糖化血红蛋白(HbAlc)水平及DWI值高于无出血组(P<0.05)。HbAlc、FBG、DWI梗死体积是预测ACI患者EVT后出血的预测因子(P<0.05)。结论 ACI中MRI DWI特征、FBG和HbA1c可作为EVT后颅内出血的预测指标,与术后颅内出血发生风险相关。
2025, 52(4):11-16. DOI: 10.16636/j.cnki.jinn.1673-2642.2025.04.003
摘要:目的 探究外源性硫化氢[以硫氢化钠(NaHS)为供体]对大鼠大脑中动脉闭塞(MACO)模型的神经保护效应及机制。方法 将60只Sprague-Dawley大鼠均分为假手术组、缺血再灌注(I/R)模型组、NaHS治疗组。假手术组仅不栓塞大脑中动脉,余操作同I/R模型组(MACO模型);NaHS治疗组在脑缺血后再灌注前20 min腹腔注射6.4 mg/kg的NaHS。通过2,3,5-三苯基氯化四氮唑染色检测脑组织梗死体积,酶联免疫吸附分析测定超氧化物歧化酶(SOD)活性及丙二醛(MDA)含量,实时定量聚合酶链反应检测Nrf2 mRNA表达,免疫印迹法分析核转录因子红系2相关因子2(Nrf2)蛋白磷酸化程度。结果 与假手术组相比,I/R模型组神经功能缺损评分增加,脑梗死体积增加,SOD活性升高,MDA含量升高,缺血周边区Nrf2 mRNA表达上调,p-Nrf2/Nrf2蛋白比值升高(均P<0.05)。与I/R模型组相比,NaHS治疗组神经功能缺损评分降低,脑梗死体积减小,SOD活性增强,MDA含量降低,Nrf2 mRNA表达升高,p-Nrf2/Nrf2比值下降(均P<0.05)。结论 外源性硫化氢能抑制脑I/R氧化应激过度激活,减小脑组织梗死体积,发挥神经保护作用,为硫化氢用于缺血性脑卒中的临床干预提供了理论依据。
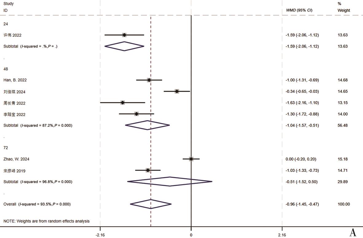
2025, 52(4):17-26. DOI: 10.16636/j.cnki.jinn.1673-2642.2025.04.004
摘要:目的 系统评价血小板GPⅡb/Ⅲa受体拮抗剂替罗非班治疗急性缺血性脑卒中(AIS)患者的有效性和安全性。方法 系统检索PubMed、Embase、Web of Science、Cochrane Library、中国知网、维普数据库和万方数据库中关于替罗非班与传统抗血小板药物[阿司匹林和(或)氯吡格雷]治疗AIS患者的安全性和有效性的结果。检索时限为从建库起至2024年6月。结果 共纳入12篇文献的1 948例患者。与传统抗血小板药物相比,替罗非班降低了患者24~72 h的美国国立卫生研究院卒中量表(NIHSS)评分[SMD(95%CI)=-1.58(-2.29,-0.86),P<0.001]、7~14 d的NIHSS评分[SMD(95%CI)=-1.53(-2.24,-0.82),P<0.001],以及90 d的改良Rankin量表(mRS)评分[WMD(95%CI)=-0.96(-1.45,-0.47),P<0.001],增加了90 d后预后良好(mRS评分0~2分)的患者比例[RR(95%CI)=1.12(1.02,1.23),P<0.001]。根据桥接传统抗血小板药物的时间,将其分为24 h、48 h和72 h进行亚组分析,结果显示,替罗非班治疗72 h后桥接传统抗血小板药物虽然在神经功能结局上优于对照组,但差异无统计学意义。两组患者的脑出血发生率、其他出血发生率、血小板减少发生率和病死率均无统计学意义。结论 与传统抗血小板药物相比,替罗非班能改善患者的神经功能预后,且不增加患者不良事件的发生。
2025, 52(4):27-33. DOI: 10.16636/j.cnki.jinn.1673-2642.2025.04.005
摘要:该文追踪1例低叶酸血症患者6年,观察患者体内血栓的动态演变过程。对该例患者进行了叶酸水平、同型半胱氨酸、维生素B12水平监测,同时监测患者的颈动脉超声、下肢动脉超声、头颅磁共振成像和磁共振血管成像,并获得患者的基因学检测结果。第1年,患者出现了左侧大脑中动脉皮质支闭塞(叶酸2.23 ng/mL)。第2年,患者出现了左下肢深静脉血栓(叶酸2.58 ng/mL)。第3年,患者出现左侧颈内动脉颅内段大部分闭塞(叶酸2.16 ng/mL)。第4年,患者出现右下肢深静脉血栓+左侧颈内动脉颅外段狭窄+右下肺静脉血栓形成(叶酸2.27 ng/mL),此时启动了补充叶酸治疗。第5年,患者未再新发血栓。采用DNA微阵列法检测发现,该例患者基因组中MTHFR基因677位为T/T纯合型(突变型)。第6年,患者死于肺炎。该类型突变的患者会出现低叶酸血症,导致快速侵袭性、全身动静脉多发性血栓,补充叶酸治疗可能有效。
2025, 52(4):34-38. DOI: 10.16636/j.cnki.jinn.1673-2642.2025.04.006
摘要:副肿瘤性边缘叶脑炎常表现为认知障碍、精神行为异常、癫痫发作等症状,临床表现复杂多变,部分患者首诊于非神经科室。该文报道1例首诊于消化科的抗SOX1抗体阳性副肿瘤性边缘叶脑炎患者,并复习相关文献,分析临床及影像学特点,提高对抗SOX1抗体阳性副肿瘤性边缘叶脑炎的认知,尽早识别,以改善患者预后。
2025, 52(4):39-45. DOI: 10.16636/j.cnki.jinn.1673-2642.2025.04.007
摘要:磁感应热疗(MIH)是一种新兴的物理治疗方案。该治疗方法通过将磁性纳米颗粒靶向输送至肿瘤区域,并利用外部交变磁场激活这些颗粒产生热量,实现对肿瘤细胞的选择性热损伤。研究表明,MIH治疗的优势在于其能够精确控制加热区域,减少对周围正常组织的损伤,同时激活热休克蛋白和免疫反应,增强抗肿瘤效果。该文综述了MIH在动物实验和临床试验中的研究进展。通过分析现有文献,发现MIH治疗在提高患者生存期和生活质量方面显示出巨大潜力,但仍需进一步研究以解决治疗参数选择、安全性评估和长期效果监测等问题。随着材料科学和生物医学工程的不断进步,MIH有望成为脑胶质瘤综合治疗策略中的重要组成部分。
2025, 52(4):46-52. DOI: 10.16636/j.cnki.jinn.1673-2642.2025.04.008
摘要:创伤性颅脑损伤的发病率、致死率和致残率相对较高,公共卫生负担大,寻找创伤性颅脑损伤新的治疗方法具有重要意义。沉默信息调节因子家族是控制能量稳态的关键调节因子,沉默信息调节因子1(SIRT1)在神经系统疾病中发挥神经保护作用。该文介绍SIRT1对创伤性颅脑损伤的神经保护作用机制,并总结以SIRT1为靶点治疗创伤性颅脑损伤的药物研究。
2025, 52(4):53-60. DOI: 10.16636/j.cnki.jinn.1673-2642.2025.04.009
摘要:动脉瘤性蛛网膜下腔出血(aSAH)是仅次于脑梗死、脑出血的第三大神经系统危急重症,其并发症迟发性脑缺血(DCI)是导致aSAH患者住院时间延长、神经功能预后较差及病死率较高的重要原因。以往的研究认为脑血管痉挛(CVS)是导致DCI的唯一因素,现有研究证实,DCI是多种机制相互作用的结果。该文总结了目前aSAH后导致DCI的病理生理学机制相关研究,目的是通过这些机制寻求能早期预警DCI发生的指标和治疗靶点,提高患者的预后。
2025, 52(4):61-69. DOI: 10.16636/j.cnki.jinn.1673-2642.2025.04.010
摘要:胶质母细胞瘤(GBM)的治疗因免疫抑制微环境、血脑屏障(BBB)阻隔及高度异质性而面临严峻挑战,对免疫检查点抑制剂(ICIs)等传统疗法反应不佳。双特异性抗体(BsAb)通过同时桥接T细胞与肿瘤抗原(如EGFRvⅢ、HER2、B7-H3等),在临床前研究中展现出克服GBM治疗困境的潜力。该综述系统分析了BsAb(包括双特异性T细胞衔接器BiTE)在GBM治疗中的研究进展与作用机制。如靶向上述抗原的BsAb能有效激活T细胞、促进其肿瘤浸润并特异性杀伤GBM细胞,提高多种临床前模型(如原位异种移植模型、人源化模型)的生存率;以及BiTE疗法在诱导持久抗肿瘤效应方面亦显示出前景。
2025, 52(4):70-78. DOI: 10.16636/j.cnki.jinn.1673-2642.2025.04.011
摘要:磷酸甘油酸激酶1(PGK1)是糖酵解通路中催化首个腺苷三磷酸(ATP)产生的关键酶,在颅内肿瘤(尤其是胶质瘤)驱动代谢重编程中发挥核心作用。其过表达显著增强糖酵解活性(瓦尔堡效应),抑制线粒体氧化磷酸化,满足肿瘤快速增殖的能量与合成前体需求。除经典代谢功能外,PGK1展现出非经典作用机制,作为蛋白激酶通过自磷酸化(如Tyr324位点)激活自身活性,并深度参与肿瘤恶性进展。研究表明,PGK1在胶质瘤细胞中可与β-catenin共定位,通过增强Wnt/β-catenin信号通路促进肿瘤细胞侵袭迁移;其向细胞核等亚结构的转位还可能调控基因转录,加速肿瘤转移进程。PGK1的异常活化是颅内肿瘤治疗抵抗的关键因素,一方面,其表达上调增强自噬活性,帮助肿瘤细胞清除化疗损伤;另一方面,通过O-GlcNAc糖基化修饰动态调节糖酵解与三羧酸循环平衡,导致微环境酸化和乳酸堆积,降低药物递送效率。此外,PGK1还可能通过影响核苷酸合成间接参与脱氧核糖核酸(DNA)修复,削弱放疗敏感性。这些机制共同导致颅内肿瘤对放疗、化疗耐受性增强。作为重要预后标志物,PGK1在星形胶质瘤等颅内肿瘤中的高表达与患者不良生存率相关。其特异性翻译后修饰形式(如自磷酸化pY324-PGK1、精氨酸甲基化meR206-PGK1)的组合检测可进一步提升预后评估精度。在靶向治疗领域,PGK1展现出多重干预潜力,小分子抑制剂通过靶向其激酶结构域有效阻断ATP生成,在临床前模型中抑制肿瘤生长;联合靶向上游调控因子(如抑制蛋白精氨酸甲基转移酶1介导的甲基化或胞外信号调节激酶介导的磷酸化)可间接阻断其功能;此外,靶向肿瘤相关免疫细胞(如肿瘤相关巨噬细胞)中差异表达的PGK1可能重塑免疫抑制微环境,为联合免疫治疗提供新策略。该文旨在阐述PGK1在颅内肿瘤中发生、发展机制的研究进展,为探索颅内肿瘤的治疗提供新思路。
2025, 52(4):79-84. DOI: 10.16636/j.cnki.jinn.1673-2642.2025.04.012
摘要:核分布因子同源蛋白1(NDEL1)是一种在神经发育过程中发挥多重调控功能的关键蛋白,广泛参与神经元分化、神经突生长、微管动力学调控及神经元迁移等过程。近年来,越来越多的研究揭示了NDEL1通过多层级调控机制介导神经元发育及其在神经系统疾病中的潜在作用。该文系统总结了NDEL1在神经元分化过程中的分子机制,包括通过miR-103-3p等miRNA的负向调控、与无脑回畸形蛋白1和精神分裂症易感基因1等蛋白的相互作用,以及NDEL1对Wnt/β-catenin信号通路的正调控作用。此外, NDEL1的酶活性及其与精神分裂症易感基因1–束状延伸蛋白zeta-1复合物的相互作用对神经突形成与稳定至关重要。值得关注的是,NDEL1在病理状态下亦发挥重要作用。综上,NDEL1不仅是调控神经元发育的重要因子,也可能在神经精神疾病中发挥关键作用。深入阐明NDEL1相关分子网络与信号通路的交叉机制,将有助于推动神经发育与神经精神疾病研究的发展,并为靶向干预提供新思路。
2025, 52(4):85-96. DOI: 10.16636/j.cnki.jinn.1673-2642.2025.04.013
摘要:帕金森病(PD)主要影响中枢神经系统的运动功能。PD的发病机制复杂,且缺乏有效的治疗方法,一直是神经科学的研究热点。近年来,PD的动物模型研究取得了显著进展。神经毒素模型可诱导多巴胺神经元损伤,常用于神经保护药物筛选,但未能完全重现PD的病理特征。转基因模型有助于发现潜在的治疗靶点,但缺乏多巴胺神经元的明显退化这一特征。组合模型可以产生更多样的运动和非运动症状,更全面地模拟PD病理过程。α突触核蛋白诱导模型能出现明显的病理蛋白聚集,更接近PD的典型病理表现。新兴模型可在体外重现PD病理特征,助力于个性化治疗的发展。越来越多的研究表明,PD更可能是一种综合征,非运动症状的研究逐渐受到重视。对PD非运动症状动物模型的研究有望在疾病早期发现生物标志物,并为严重非运动症状提供治疗方法。该文综述了各种PD动物模型的优势和局限性,为研究人员提供参考,帮助他们根据实验目的选择合适的模型。同时,该文旨在为深入理解PD发病机制和开发新的治疗方法提供理论支持。
地址:湖南长沙市湘雅路87号 中南大学湘雅医院内
邮编:410008
电话:0731-84327401
传真:0731-84327401
E-mail: jinn@vip.163.com
网址:http://www.jinn.org.cn/
手机版网站二维码
微信公众号二维码
国际神经病学神经外科学杂志 ® 2026 版权所有 技术支持:北京勤云科技发展有限公司 总访问:

